Close Menu
Cristal FM
  • Home
  • Notícias
    • Brasil
    • Tocantins
    • Entretenimento
    • Politica
    • Cidade
  • Nossa Cidade
  • Locutores
  • Programação
  • Fale Conosco
Facebook Instagram WhatsApp
Cristal FM terça-feira, 21 abril
Facebook Instagram X (Twitter)
Pedir Música
  • Home
  • Notícias
    1. Brasil
    2. Tocantins
    3. Entretenimento
    4. Politica
    5. Cidade
    6. Ver Todas

    Batalha de Rap Macapá terá duelos de rima e venda de comidas típicas no Mercado Central

    setembro 16, 2024

    ‘Maio Amarelo’ tem ações em escolas e ruas para prevenir acidentes no trânsito no AP

    setembro 16, 2024

    Crianças autistas participam de sessão de terapia com cães do Bope em Macapá

    setembro 16, 2024

    Jacaré de 2 metros é resgatado dentro do campus do Ifap em Macapá; é o 2º animal em 17 dias

    setembro 16, 2024

    Taxista desaparece após sair para tomar banho em balneário no TO, diz o pai

    abril 21, 2026

    Adolescente é atropelado ao tentar atravessar a rua em Palmas; VÍDEO

    abril 21, 2026

    Estado altera lei por meio de medida provisória e nomeia novos coronéis na PM

    abril 21, 2026

    Transparência em emendas parlamentares entra na mira do MPTO no Tocantins

    abril 21, 2026

    Morre ator de ‘Chaves’, Ricardo de Pascual, aos 85 anos

    abril 21, 2026

    Cantor Hiran é alvo de ataques homofóbicos após lançar disco em que denuncia homofobia no rap

    abril 21, 2026

    ‘Michael’ emociona com lado musical do Rei do Pop, mas deixa de lado de vida complexa; g1 já viu

    abril 21, 2026

    Polícia pede prisão do fundador de agência do BTS na Coreia do Sul por lucro ilegal de R$ 730 milhões

    abril 21, 2026

    Barroso autoriza Marcos Valério a cumprir pena no regime semiaberto

    setembro 16, 2024

    Ministro do STF nega revisão de pena para Ramon Hollerbach no mensalão do PT

    setembro 16, 2024

    STF perdoa pena de mais dois condenados no mensalão do PT com base no indulto de Temer

    setembro 16, 2024

    STF concede liberdade condicional à ex-presidente do Banco Rural Kátia Rabello

    setembro 16, 2024

    Taxista desaparece após sair para tomar banho em balneário no TO, diz o pai

    abril 21, 2026

    Morre ator de ‘Chaves’, Ricardo de Pascual, aos 85 anos

    abril 21, 2026

    Cantor Hiran é alvo de ataques homofóbicos após lançar disco em que denuncia homofobia no rap

    abril 21, 2026

    Prefeitura no TO decreta emergência após temporais e fecha R$ 1 milhão em shows no mesmo dia

    abril 21, 2026
  • Nossa Cidade
  • Locutores
  • Programação
  • Fale Conosco
Cristal FM
Home»Tocantins»Candidato faz teste físico da PM com fratura no pé e consegue aprovação: ‘Pensei que não ia conseguir’
Tocantins

Candidato faz teste físico da PM com fratura no pé e consegue aprovação: ‘Pensei que não ia conseguir’

novembro 30, 2025Nenhum comentário0 Visitas

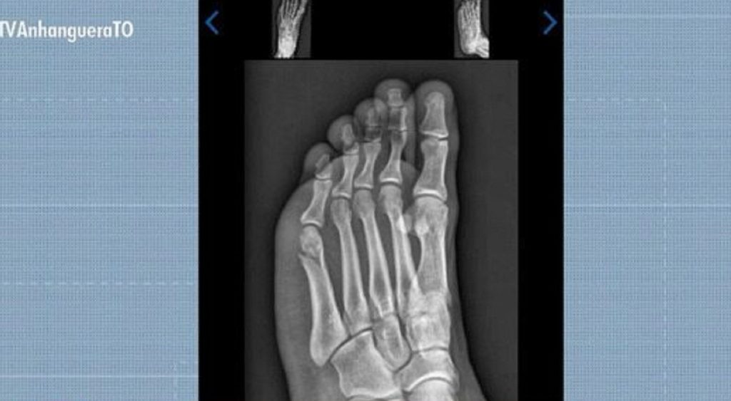
Candidato quebra pé dias antes do TAF da Polícia Militar
Um jovem concurseiro de Gurupi, no sul do Tocantins, conseguiu ser aprovado no Teste de Aptidão Física (TAF) da Polícia Militar mesmo com o pé quebrado. A prova aconteceu 30 dias após Gabriel Santos Rodrigues, de 22 anos, cair do telhado da própria casa enquanto trocava a boia da caixa d’água.
“Pensei que não ia conseguir. Consegui fazer as outras etapas, mas no dia da corrida eu estava bastante nervoso. Quando estava faltando mais ou menos 20 ou 30 segundos olhei no meu relógio e estava faltando completar uma volta de 200 metros, falei ‘ah, não vai dar’. Porque por mais que o tempo passe rápido lá na hora, tudo na sua mente passa devagar”, contou Gabriel em entrevista à TV Anhanguera.
Mesmo em dúvida se conseguiria completar a prova, Gabriel continuou, afinal já havia passado pelas outras etapas do TAF. Ele concluiu a prova faltando três segundos para o limite.
📱 Clique aqui para seguir o canal do g1 TO no WhatsApp
LEIA TAMBÉM:
Suspeita de movimetnar R$ 217 milhões com jogos ilegais, Karol Digital tem prisão convertida em domiciliar após três meses
Motorista que recebeu R$ 131 milhões por engano teve que pagar tarifa mais alta em conta após erro de banco
Filha adolescente suspeita e fuga em carro: o que se sabe sobre caso de advogado morto a facadas em Gurupi
Gabriel Santos Rodrigues foi aprovado no TAF da PMTO mesmo com fratura no pé
Reprodução/TV Anhanguera
💡 O TAF é uma das etapas existentes em concursos públicos para polícia, Corpo de Bombeiros, entre outros cargos. O exame serve para avaliar se o candidato tem condições físicas adequadas para exercer determinada função.
Os exercícios cobrados no exame dependem do edital de cada concurso. No caso da Polícia Militar do Tocantins, a avaliação envolve provas de flexão ao solo, flexão abdominal, flexão em barra fixa e corrida de 12 minutos, além de exames clínicos para atestar a capacidade física e a prontidão para o serviço.
Concurseiro concluiu prova de corrida do TAF com fratura no pé
Reprodução/TV Anhanguera
mais notícias da região no g1 Tocantins.

Fonte: G1 Tocantins

Compartilhar. Facebook Twitter Telegram Email Copy Link WhatsApp

Mais Notícias

Taxista desaparece após sair para tomar banho em balneário no TO, diz o pai

abril 21, 20260 Visitas

Adolescente é atropelado ao tentar atravessar a rua em Palmas; VÍDEO

abril 21, 20260 Visitas

Estado altera lei por meio de medida provisória e nomeia novos coronéis na PM

abril 21, 20260 Visitas
BANNER LOCAL LATERAL
Top Posts

Médico é suspeito de invadir carro e agredir delegado aposentado durante confusão no trânsito

setembro 19, 202438 Visitas

Como (e por que) casal Lorena e Juquinha, de ‘Três Graças’, ganhou repercussão internacional

dezembro 9, 202514 Visitas

Suspeito de roubos é preso após ser perseguido por vítima, cair e abandonar moto durante fuga

setembro 16, 202414 Visitas

Homem é preso após amarrar adolescente suspeito de furto em estaca de cerca e agredi-lo

setembro 17, 202411 Visitas
Siga-nós
Facebook Instagram YouTube WhatsApp TikTok
Nosso App
© 2026 Rádio afiliada a Farcom Tocantins - www.farcomto.org

Digite acima e pressione Enter para pesquisar. Pressione Esc para cancelar.